Inicio
Acerca de mi
Procedimientos
Áreas de trabajo
Contacto
Seleccionar página
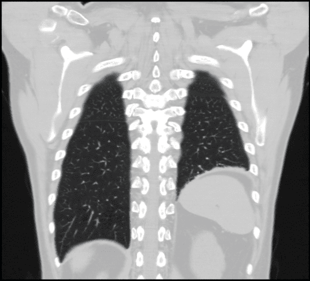
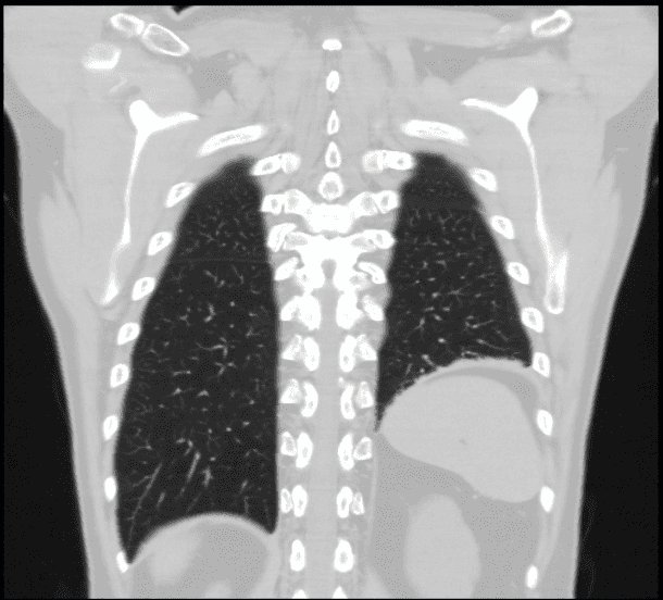
Corrección de la parálisis diafragmática
Se realiza plicatura del diafragma paralizado por causa conocida o idiopática.
Más Procedimientos